Descrizione
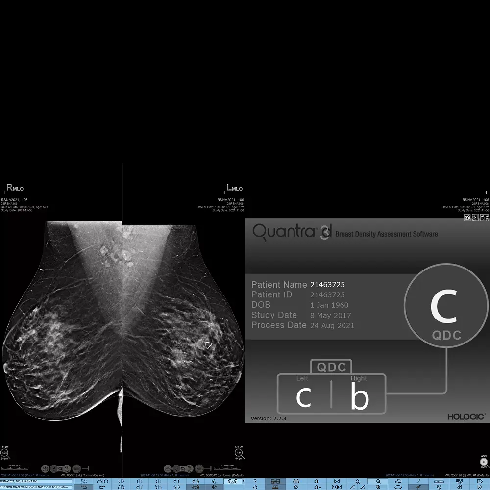
Quantra 2.2 è la soluzione di Intelligenza Artificiale avanzata di Hologic per la valutazione automatizzata e oggettiva della densità del tessuto mammario, un parametro sempre più riconosciuto come fattore di rischio per il cancro al seno. Questo software di ultima generazione offre una misurazione accurata, standardizzata e ripetibile, riducendo la soggettività tipica della valutazione visiva.
Rispetto alle versioni precedenti, Quantra 2.2 introduce algoritmi innovativi in grado di analizzare non solo la quantità di tessuto denso, ma anche struttura e forma della mammella. Il risultato è una valutazione più completa, che permette di adattare in modo più preciso il percorso diagnostico e clinico di ogni paziente.
Tra le funzionalità principali:
- Calcolo volumetrico della densità mammaria.
- Classificazione secondo le categorie BI-RADS 5a edizione.
- Supporto nella gestione dei protocolli clinici sulla densità.
- Monitoraggio nel tempo dei cambiamenti di densità.
Con Quantra 2.2, i radiologi dispongono di più parametri diagnostici, migliorando la qualità della refertazione e facilitando una diagnosi precoce e personalizzata. Uno strumento essenziale per una senologia moderna, basata su evidenze e orientata alla prevenzione.


